版权所有:江门市结核病防治所 技术支持:广东迪浪科技股份有限公司
地址:广东省江门市跃进路99号(即市体育场对面)电话:0750-3332538
备案号:粤ICP备16013430号
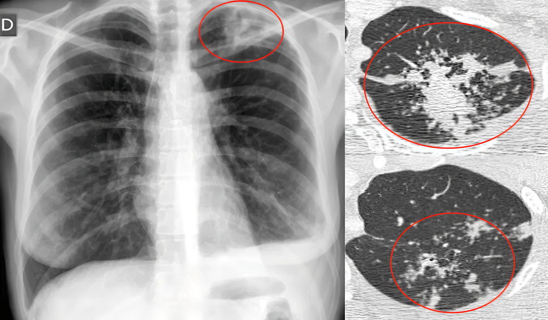
肺结核至今仍然是危害我国人民身体健康的重大传染病之一,虽然随着我国现代医疗卫生事业技术水平的不断提高,在结核疾病诊断、药物治疗上已经取得了很大的进步,在临床治疗诊断过程中,为了不断提高我国肺结核相关疾病的临床发现准确率和临床治愈率,影像诊断技术的指导作用更加不可或缺,常规X线胸片是目前肺结核早期检查的首选,但螺旋CT在肺结核疾病诊断中发挥越来越重要的指导作用。

胸部X线片在肺结核诊断中是最传统,简捷而快速的一种检查方式,对病变部位,范围和性质并诊断有重要价值,但是平片成像的组织重叠,对病变的详细结构观察较差,而且早期肺结核病灶较小,很难发现病灶并作出诊断,因此具有局限性,适用于肺结核的初步筛查。而螺旋CT克服了平片的局限性,无多组织重叠,还可以通过后期重建技术显示病灶更多的细节,因此螺旋CT在肺结核的诊断中的应用价值更加广泛。
CT图像MPR(多平面重建)是将一个多平面二维轴位像简单叠加成三维图像后,再按冠状位、矢状位、或任意位相断面截取三维数据,重新构成二维图像。通过MPR重建技术,医生能更清晰地观察到病灶的位置、形态、大小及与周围组织的关系,还可以帮助医生评估肺结核的严重程度和治疗效果具有重要价值。


此外,螺旋CT扫描及三维重建成像在诊断肋骨骨折方面比胸片具有明显的优势,特别是靠近胸椎处的肋骨及明显位移的骨折。对比常规X线胸片,能提供更加丰富的影像信息,能显示肋骨骨折的位置、形态、数量以及合并症,同时在其他关节部位,三维重建有着它不可替代的优势。

(宣讲团成员卡片)

吴浩正
放射技士
毕业于肇庆医学院,医学影像技术专业,熟练掌握DR、CT、MRI成像及图像后处理,在CT增强技术及放射防护方面有丰富经验。