版权所有:江门市结核病防治所 技术支持:广东迪浪科技股份有限公司
地址:广东省江门市跃进路99号(即市体育场对面)电话:0750-3332538
备案号:粤ICP备16013430号
一年前,黄女士深受咳嗽困扰,活动时还伴有明显气喘,曾转至多家医院治疗,效果不尽人意,机缘巧合之下,来到江门市结核病防治所诊治,在明确病因后在规范的全身治疗的基础上,经过“牛轰轰”的新技术“冷冻”一下,咳嗽、气喘症状消失了。

故事原来是这样的
【咳嗽气喘不断加重】黄女士2021年5月始出现阵发性咳嗽、咳大量黄白色粘痰,伴气喘、剧烈咳嗽及活动后加重,伴夜间盗汗症状,曾于外院诊治,效果不佳。
【确诊继发性肺结核、气管支气管结核】2021年7月30日黄女士转至我所就诊,经胸部DR检查(图一)考虑肺结核,遂住院进一步治疗。住院期间经查痰找到抗酸杆菌,并完善支气管镜检查见“左上叶支气管开口见干酪样坏死物”(图二),确诊为“继发性肺结核、气管支气管结核”,根据病情,制定个体化抗结核治疗方案治疗后病情好转出院,经抗结核治疗2月,黄女士痰菌转阴,但黄女士未遵医嘱定期复查气管镜动态观察气管支气管结核的变化情况并镜下注药治疗,一直仍间断咳嗽,而且呼吸仍不顺畅。

图一

图二
【气管镜检查下发现“肉芽”】2022年3月18日黄女士因受凉后咳嗽、气促加重,再次在我所住院部治疗,复查胸部CT(图三、四、五)检查发现“左主支气管狭窄,左上肺容积缩小,左肺上叶尖后段、前段不张”,立即安排患者支气管镜检查,结果提示左上叶支气管开口见一肉芽(图六)。

图三

图四

图五

图六
【气管镜介导腔内冷冻治疗】经气管镜检查发现黄女士左上叶支气管开口见一肉芽,综合患者病史、治疗情况、胸部CT及气管镜检查,这粒“肉芽”就是引起患者咳嗽气促不消失以及气管狭窄、肺不张的主要“罪魁祸首”。我所呼吸介入团队综合评估黄女士病情后,基于新开展的支气管镜介导腔内冷冻技术制定了清除“肉芽”的方案。2022年3月22日,呼吸介入团队为黄女士行支气管镜介导腔内冷冻治疗(图七),术程顺利,左上叶支气管开口的肉芽经冷冻治疗后缩小(图八),无不良反应及并发症。术后咳嗽、气促症状逐步减轻。

图七

图八
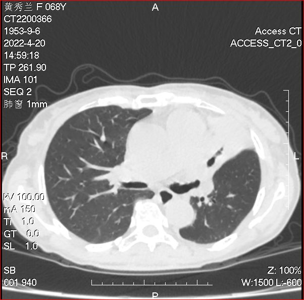
【咳嗽、气促及顽固的“肉芽”均消失不见】黄女士在我所结核病控制科门诊继续抗结核治疗1月,咳嗽、气促症状消失了。至2022年4月20日复查胸部CT“左上肺肺不张较前好转、左主支气管狭窄减轻”(图九、图十、图十一),复查支气管镜“左上叶支气管开口见一肉芽较前明显缩小”(图十二),再次行支气管镜介导腔内冷冻治疗,肉芽融解消失(图十三)。

图九

图十

图十一

图十二

图十三
故事完美结局

![]()

锲而不舍解除困扰,切实为群众办实事
副所长、副主任医师陈华指出,我所3月18日开展支气管镜介导腔内冷冻治疗新技术以来,至今已完成22例,无并发症发生,安全性高,疗效确切,特别是对溃疡坏死型、肉芽增生型支气管结核效果好,也可与支气管镜介导的球囊扩张术联合治疗瘢痕狭窄型支气管结核,值得推广应用。
副所长、副主任医师陈华强调,气管支气管结核临床表现缺乏特异性,虽然部分患者可通过胸部影像学表现作出大致判断,但单纯依赖影像学表现具有一定的局限性和不确定性。支气管镜检查可以直接观察支气管黏膜、管腔的改变,并可通过活检、刷检及灌洗等方法进一步行病理学、病原学检查,是诊断气管支气管结核不可替代的方法。无支气管镜检查禁忌证的肺结核患者均建议尽早行支气管镜检查,一方面避免漏诊气管支气管结核导致抗结核治疗疗程不足,另一方面,若存在气管支气管结核,根据具体的分型制定综合、规范的治疗方案。气管支气管结核在治疗过程中,不同的分型转归不同,所以患者遵医嘱治疗亦是治疗成功的关键。
我所是市级结核病防治专科医院,在结核性脑膜炎、耐药结核病、气管支气管结核等危重疑难结核病方面的诊治水平逐年提升,我们将继续开拓新思路、添置新装备、引进新技术、增强新本领,紧跟新时代,努力满足人民的需求,也将一如既往,带领五邑地区结核病防治机构不断提高结核病防治能力水平,切实为广大群众办实事。黄女士成功治疗的案例,使得我们更有勇气、更有信心去帮助更多结核病患者,也使得我们更有决心去战胜结核病。
【医师简介】

陈华 副所长 住院部主任
副主任医师
河北北方学院临床医学系毕业。于2014年在首都医科大学附属北京胸科医院耐药结核病区及肿瘤内科进修,2016年在广州医科大学附属第一医院微创外科培训中心纤维支气管镜专业进修。
擅长结核病、非结核分枝杆菌肺病、慢性咳嗽、慢性阻塞性肺疾病、肺源性心脏病、支气管哮喘、支气管扩张等常见呼吸系统疾病的诊治。
支气管镜室负责人,熟练掌握常规支气管镜检查的各项操作,开展支气管镜介导球嚢扩张气道成形术、支气管镜介导腔内冷冻治疗,对气管-支气管结核诊疗有丰富的临床经验。
专家门诊:每周四上午9:00~11:30
出诊地点:结核病控制科门诊6号诊室
咨询电话:0750-3271990